親知らずとは、第3大臼歯(6才臼歯の2本後の歯)、中央の歯から数えて(抜いてある歯やもともと生えてこなかった歯を含め)8歯目の歯のことを言います。永久歯の中で一番最後に生えてくるためスペースがなく、横や斜めに傾いたり、骨の中に埋まったまま生えてこない場合があります。
親知らずがまっすぐ生えていて、上の歯と噛み合っているのでちゃんと磨ければ残せるケースです。
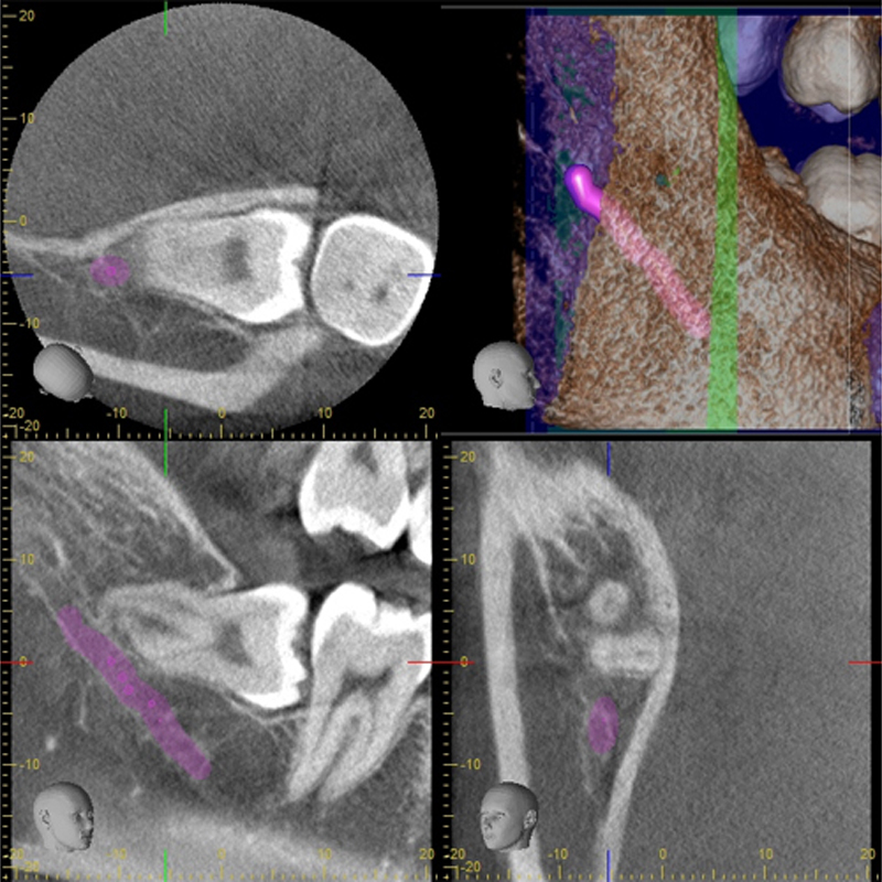
親知らずが横を向いて埋まっていて隣の歯が虫歯になったり、清掃性が悪いために炎症を起こして腫れてしまうリスクが高いために抜歯をしたほうがいいケースです。親知らずと神経が近い場合は安全のためにCT撮影をして位置関係を確認します。
親知らずの抜歯はありふれた治療です。
しかし、
特に親知らずの近くに血管や神経が通っている場合、慎重な診断が必要です。
間違って傷つけてしまうと、多量の出血や一時的な麻痺が生じることもあります。
このため、当院では事前の診査診断では「レントゲン検査」を行い、必要に応じて
また、当院では卒直後の研修を終了後に大学病院で
前歯から数えて8番目の歯のことで、多くの方が20歳前後に生えてきます。
【
というイメージを皆様お持ちではないでしょうか?
【親知らず】を長く放置して【痛み】が生じてしてからでは周囲の歯に悪影響が応じていることが多くあります。
長い間、放置された【親知らず】を【抜く】ことをしても治癒の不全が生じることが多く、よくあるドライソケットの発症のリスクが多いことがあります。
『
親知らずが真っ直ぐ生えてくる方は大変少なく、正しく噛み合っていないために汚れが多量に付いている場合がほとんどです。
隣りの歯を押して、その歯が虫歯になったり、歯周病を併発したり、歯並びを乱して噛み合わせが悪くなる可能性もあります。それに加え、歯ブラシが届きづらいため、十分に磨けず、虫歯や歯周病、腫れや口臭の原因になりやすいなど、抜歯の理由は様々です。
しかし、全てのケースで抜歯をしなければならし訳ではなく、悪影響を及ぼさない場合は、後々に歯の欠損症例に
親知らずは他の
| 特徴 | まっすぐ生えている上の親知らずの抜歯です。 痛みもなく即日抜歯が可能です。 |
|---|---|
| 治療時間 | 15分 |
| 治療費 | 準備中 |
| 特徴 | まっすぐ生えている上の親知らずの抜歯です。 痛みもなく即日抜歯が可能です。 |
|---|---|
| 治療時間 | 15分 |
| 治療費 | 準備中 |
| 難易度 | 易しい |
|---|---|
| 治療時間 | 15〜20分 |
| 治療費 | 準備中 |
| 難易度 | 普通 |
|---|---|
| 治療時間 | 30〜60分 |
| 治療費 | 準備中 |
| 難易度 | 難しい |
|---|---|
| 治療時間 | 30〜60分 |
| 治療費 | 準備中 |
親知らずの
それでは、どのような分類と診断を基準でしているのか?
下顎(アゴ)の場合は特に
上記の内容は大学病院の口腔外科で抜歯をする際に必須項目であり、当院では
①1難易度の把握
親知らずを含め、お口の中の状況を検査し、抜歯における分類による難易度を確実に診断した上で
②抜歯方法のご説明
難易度により術式は異なるので、術前にしっかりと
③術後出現する可能性のある
合併症についてのご説明
④術前準備
術前にしっかりとお口の中を検査し、
汚れがたまっている場合はクリーニングしてから抜歯を行います。
⑤
痛みや不快感を徹底的に取り除き、丁寧さを第一に施術に当たります。可能であれば当日に行う場合もありますが、基本的にしっかりとご予約を取らせていただいております。
下顎を通る神経に親知らずの歯根部分が接触している場合などに、神経が傷つき、下唇周辺部分やした部分にしびれが出ることがあります。舌にしびれが出る場合には味覚障害も伴います。これらのしびれは次第に治るものですが、時間がかかる場合もあります。
人間の鼻腔は鼻腔の両脇にある空間(上顎洞)とつながっています。上顎の親知らずの中には、歯の根がこの空間(上顎洞)側に飛び出ているものが稀にあり、それを抜歯した際には、歯を抜いたあとの穴と上顎洞を通じて、口の空間(口腔)と鼻の空間(鼻腔)がつながってしまいます。空気や水が漏れるなど違和感はありますが、穴は自然にふさがります。
抜歯後、歯のあった部分に穴が開くことになりますが、通常であればこの部分にぶよぶよとした血のかたまり(血餅)がたまり徐々に治癒へ向かいます。この血のかたまりが強いうがいなどによって取れてしまったり、何らかの原因で形成されない場合、歯槽骨が露出して強い痛みが生じます。こちらも治りますが、10日〜2週間ほどかかります。
主訴:左下が腫れている。
治療期間(通院回数):3週間(5回)
治療費用: 8,850円
治療内容
初診時、左側智歯部に炎症が認めてため、抗生剤の投与を開始し、消炎後に抜歯処置へ。
顎の神経と埋もれている親知らずの根の先の近接を認めるため、
主訴:右下に違和感があり、以前右上の親知らずにも痛みがあった。
治療期間(通院回数):2週間(4回)
治療費用: 8,950円
治療内容
右下の親知らずが横向きに生えていて、清掃性が悪く虫歯になる可能性が高い。また、右上の親知らずも一部う蝕を認め、保存が困難と診断。
右下の親知らずの根の先は顎の神経根に近接を認めるため、
主訴:右下に違和感があり、しみる症状がある。
治療期間(通院回数):約 1.5週間(4回)
治療費用: 7,500円
治療内容
右側の親知らずは横向きに倒れていて、清掃性が悪く、虫歯を認める。
主訴:親知らずが生えてきたので診て欲しい。
治療期間(通院回数):約2.5週間(4回)
治療費用: 4,100円
治療内容
左親知らずは一部、萌出を認める。根が完成されいなく、顎の神経との距離は確保されいる。
CTの撮影の必要性はないため、通常の抜歯。
主訴: 右下が何度か腫れている。
治療期間(通院回数):2週間(3回)
治療費用: 7,500円
治療内容
右下親知らずは一部の萌出を認めるが、周囲の歯茎は炎症を認めた。消炎目的で抗生剤の投与を行い、消炎後に抜歯へ。
右親知らずは完全萌出しておらず、顎の神経のとの近接を認めるため、
主訴: 以前より左右の親知らずが腫れることが数回あった。
治療期間(通院回数):4週間(8回)
治療費用: 16,500円
治療内容
左下は横向きに倒れていて、顎の神経との近接を認めるため、
左側と同様に下顎の親知らずはCTにて診断を行い、抜歯方法の検討後に抜歯へ。
